Student assistant universal lesion annotation in whole-body longitudinal CT imaging
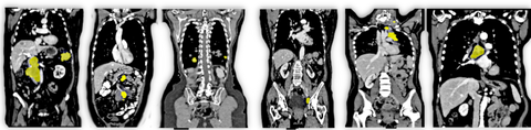
Annotation of whole-body lesions in CT across multiple timepoints
We always welcome applications from strong candidates. Feel free to send your CV to a staff member if you are interested to join DIAG. If you consider applying please read this general information about doing a PhD at DIAG.
Annotation of whole-body lesions in CT across multiple timepoints
PhD position for clinical and technical validation of generative AI based digital twins for cardiovascular imaging
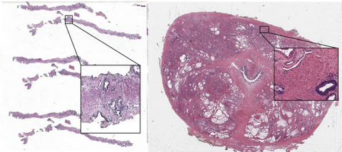
PhD candidate ‘AI-based pan-cancer prediction of 'omics biomarkers from histopathology’
We welcome good master's and bachelor's students to perform academic research in our group. We offer various projects that can be tuned to match your thesis requirements. You can also browse through our research pages to read about the different research topics of our group.
Evaluation of multi-organ CT registration models for lesion tracking across timepoints
AI-based prediction of ovum pick-up timing to improve patient-centered planning and IVF laboratory workflow
Predicting basal cell carcinoma progression from histopathology using Artificial Intelligence
Advancing clinical explainability of vision-language models through reasoning segmentation
Designing an LLM-as-a-Judge framework to validate clinical generative AI tools integrated in the EHR at Radboudumc
Develop a method that incorporates multiple CT contrast phases for kidney cancer
Weakly supervised learning for automated scoring of the Monkey Neurovirulence Test (MNVT) in polio vaccine development
Development of deep learning methods for multimodal registration in prostate cancer
Machine learning on antibiotic susceptibility testing data to predict MDR Klebsiella (ESBL/CPE) one day earlier than current laboratory workflows
Deep-learning based segmentation of intracoronary structures in optical coherence tomography images
The positions below are closed, please do not apply. They are listed to give you an idea of the kind of positions we regularly offer.
Vacancies